Service Description
Cosmetic Dentistry
Cosmetic Dentistry is a branch of dentistry focused on improving the appearance of a person's teeth, gums, and smile. It combines art and science to create aesthetically pleasing results, boosting both confidence and dental health.
Common cosmetic procedures include teeth whitening, veneers and crowns, which help correct discoloration, broken teeth, gaps, and misalignment. Invisalign and braces are also used to straighten teeth and improve bite alignment. Cosmetic dentistry not only enhances the smile but can also improve oral function, such as chewing and speaking.
Many treatments are minimally invasive, providing patients with quick recovery times and lasting results. The use of advanced materials and techniques ensures that restorations look natural and blend seamlessly with the patient's teeth. Whether you're looking to address cosmetic concerns or achieve a complete smile makeover, cosmetic dentistry offers tailored solutions for every individual.
With the right approach, cosmetic dentistry can transform a person's smile, making it a powerful tool for improving self-esteem and overall quality of life. At Dentilign, we specialize in personalized cosmetic treatments that help you achieve the smile you've always dreamed of.




Pedodontic Treatment (Pediatric Dentistry)
Pedodontic treatment, or pediatric dentistry, focuses on the specialized oral care needs of children from infancy through adolescence. It emphasizes not only maintaining strong, healthy teeth but also fostering positive dental experiences to build lifelong oral hygiene habits. Pediatric dentists are uniquely trained to address the physical and emotional needs of young patients, ensuring that each child feels comfortable and supported during their dental visits.
A key aspect of pedodontic care is prevention and early intervention. Regular checkups, cleanings, fluoride treatments, and the application of dental sealants help protect children’s teeth from cavities and decay. Pediatric dentists also educate families about proper brushing and flossing techniques, emphasizing the role of a balanced diet in oral health. Early orthodontic evaluations, often conducted by age seven, allow for timely detection and management of alignment issues, potentially avoiding more complex treatments later in life.
For children requiring treatment, pediatric dentists employ gentle, child-focused techniques to address cavities, apply fillings, and perform procedures like pulp therapy or tooth extractions when necessary.
Behavior management and the use of child-friendly equipment create a welcoming environment that reduces anxiety and promotes a positive relationship with dental care.
At Dentilign, we take pride in offering personalized, compassionate pediatric dental services, ensuring every child receives the care they need for a healthy, confident smile.




Root Canal Procedure
A root canal is a dental procedure used to treat infection or damage within the pulp (the soft tissue inside the tooth that contains nerves and blood vessels) of a tooth. When the pulp becomes infected due to deep decay, trauma, or repeated dental procedures, a root canal can save the tooth and prevent the need for extraction.
During a root canal procedure, the dentist or endodontist (a specialist in treating the inner tissues of teeth) removes the infected or damaged pulp from the tooth. The procedure is typically performed under local anesthesia, so the patient is comfortable and pain-free throughout the process.
Steps of a Root Canal Procedure:
1. Initial Examination and X-rays: The dentist will first take X-rays to assess the extent of the infection and to determine the root canal's anatomy.
2. Anesthesia: Local anesthesia is administered to numb the area around the affected tooth, ensuring the patient feels no pain during the procedure.
3. Accessing the Pulp: The dentist creates a small opening in the crown of the tooth to access the pulp chamber and root canals.
4. Cleaning and Shaping: The infected pulp is carefully removed, and the root canals are cleaned and shaped to eliminate bacteria and debris.
5. Filling the Root Canals: After cleaning, the root canals are filled with a biocompatible material, often gutta-percha, to seal them and prevent further infection.
6. Sealing and Restoration: Finally, the tooth is sealed with a temporary or permanent filling. If necessary, the tooth may be restored with a crown to provide strength and protection.




Benefits of Root Canal Treatment:
- Pain Relief: Contrary to the common misconception that root canals are painful, the procedure is designed to alleviate the severe pain caused by infection or inflammation within the tooth.
- Preserving the Tooth: A root canal can save a tooth that might otherwise need to be extracted, allowing you to retain your natural smile and functionality.
- Preventing Further Infection: The procedure removes infected tissue, preventing the infection from spreading to other teeth or surrounding bone.
After the procedure, patients may experience mild discomfort or sensitivity for a few days, but this can usually be managed with over-the-counter pain relievers. With proper care, a tooth treated with a root canal can last a lifetime.
At Dentilign, we perform root canal treatments with precision and care, ensuring that each patient is comfortable and well-informed throughout the process. If you’re experiencing tooth pain, sensitivity, or signs of infection, our team is here to help restore your oral health and save your natural tooth with the most effective, gentle treatment available.
Dental Implants
Dental Implants are a revolutionary solution for replacing missing or severely damaged teeth, offering a permanent, natural-looking alternative to dentures or bridges. Unlike traditional tooth replacement options, dental implants involve a titanium post that is surgically placed into the jawbone, acting as an artificial tooth root. Once the implant fuses with the bone—a process known as osseointegration—it provides a sturdy foundation for a crown, bridge, or even dentures, restoring both function and aesthetics.
Dental implants offer several advantages over other methods. They help preserve bone structure, prevent further tooth loss, and eliminate the discomfort or instability that can come with removable dentures. Implants also look and feel like natural teeth, allowing patients to eat, speak, and smile with confidence. Because they are durable and long-lasting, dental implants can provide a lifetime solution with proper care.
The procedure for dental implants typically involves several steps, starting with a consultation and imaging to assess the jawbone's health and suitability for implants. Following the implant placement, a healing period is required before the final restoration is attached. In some cases, patients may require bone grafting to ensure the jawbone is strong enough to support the implant.
At Dentilign, we specialize in placing and restoring dental implants, using the latest technology to ensure precise placement and optimal results. Whether you're missing one tooth or several, dental implants are an excellent choice for regaining a complete, functional, and confident smile.




Teeth Extractions
Tooth extraction is a dental procedure in which a tooth is removed from its socket in the bone. While it's generally considered a last resort, tooth extraction is sometimes necessary for various reasons, including severe decay, gum disease, overcrowding, or infection. It can also be performed to prepare for orthodontic treatment or in cases where wisdom teeth cause discomfort or complications.
There are two main types of tooth extraction procedures:
1. Simple Extraction: This procedure is typically performed when a tooth is visible in the mouth and can be easily removed. The dentist will numb the area with a local anesthetic, loosen the tooth using special instruments, and then remove it. Recovery time for a simple extraction is usually quick, with minimal discomfort.
2. Surgical Extraction: This is a more complex procedure used when a tooth is impacted (such as wisdom teeth), broken, or not fully erupted. The dentist or oral surgeon may need to make an incision in the gum and, in some cases, remove bone around the tooth. After the tooth is removed, stitches may be required. Recovery time for surgical extractions can take longer, and post-operative care instructions should be followed carefully to ensure proper healing.
Tooth extraction may also be necessary for orthodontic purposes, such as to create space for alignment of other teeth. In these cases, extractions are performed with the goal of improving bite and ensuring the best possible outcome for the patient's smile.
After an extraction, it’s essential to follow post-care instructions to promote healing and reduce the risk of complications like dry socket or infection. Pain management, ice packs, and a soft food diet are often recommended in the days following the procedure.
At Dentilign, we ensure that tooth extractions are performed with the utmost care and precision, prioritizing your comfort throughout the process. We offer comprehensive guidance and aftercare to ensure a smooth recovery and to maintain your overall oral health. If you're facing the need for a tooth extraction, our team is here to provide professional, compassionate care to make the procedure as easy and stress-free as possible.




Teeth Cleaning & Whitening
Professional Teeth Cleaning Procedure
Teeth cleaning, also referred to as dental prophylaxis, is a preventive measure designed to eliminate plaque, tartar, and stains that accumulate over time. Even with regular brushing and flossing, some deposits can remain, particularly in hard-to-reach areas, making professional cleaning essential.
Here’s how the procedure typically works:
Examination:
The dentist or dental hygienist begins by thoroughly examining your mouth using a small mirror to identify areas of concern, such as plaque buildup, gum inflammation, or signs of cavities. If severe gum disease is detected, they may recommend more intensive treatments like scaling and root planing.Scaling:
The next step involves using an ultrasonic scaler or manual hand tools to remove tartar and plaque from your teeth, particularly along the gum line and between the teeth. The scaler vibrates gently, loosening hardened deposits while water is sprayed to wash them away.Polishing:
After scaling, a high-powered electric brush and a gritty toothpaste-like substance are used to polish the teeth. This removes surface stains and leaves the enamel smooth, reducing future plaque buildup.Flossing and Rinsing:
The hygienist then flosses between your teeth to remove any leftover debris and has you rinse with a fluoride-based solution to refresh your mouth.Fluoride Treatment (Optional):
A fluoride treatment may be applied at the end of the cleaning to strengthen enamel and protect against cavities. This involves placing a flavored fluoride gel or varnish on your teeth for a few minutes.


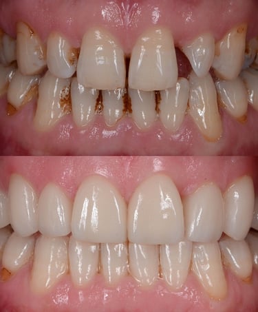
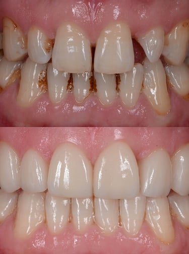
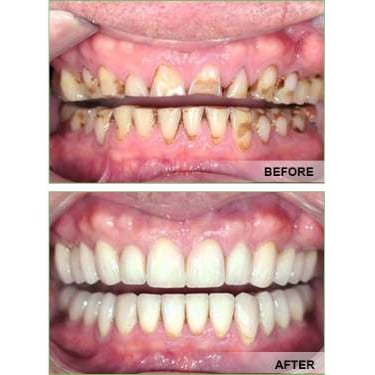
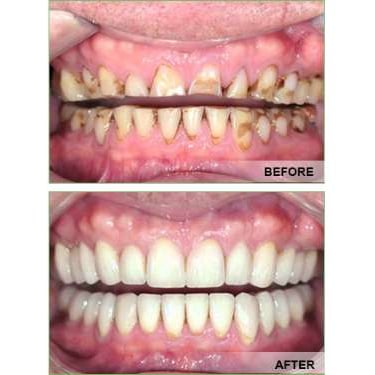
Full Mouth Rehabilitation
Full mouth rehabilitation, also known as full mouth reconstruction or restoration, is a dental procedure that aims to improve the health, function, and appearance of a patient's teeth:
What it involves
A full mouth rehabilitation is a comprehensive treatment plan that includes diagnostic analysis, interim treatment, and final restorations. Final restorations can include implants, veneers, and crowns.
Who it's for
Patients who may need full mouth rehabilitation include those with:
Multiple missing teeth
Large fillings that are failing or decaying
Cracked or broken teeth
Worn teeth
Advanced dental issues like severe bite problems
Benefits
Full mouth rehabilitation can help improve oral health, enhance the appearance of teeth, and raise self-esteem. It can also help ease jaw discomfort and pain caused by temporomandibular joint (TMJ) disorders.
Aftercare
After full mouth rehabilitation, patients should follow their dentist's instructions and practice good oral hygiene at home. This includes brushing, flossing, and using interdental brushes. Patients should also avoid eating or drinking for at least 30 minutes after the procedure, and avoid hard food for 24 hours.






What to Expect
While metal braces may take a bit of time to get used to, they are highly effective in straightening teeth and improving bite alignment. You will typically need regular appointments for adjustments, but rest assured that our team will ensure your comfort throughout your treatment.
2. Self-Ligating Braces
A Modern, Comfortable Alternative
Self-ligating braces are an innovative type of braces that don’t require traditional elastic bands to hold the archwire in place. Instead, they use a built-in clip or door to secure the wire. This design reduces friction, making adjustments smoother and generally offering a more comfortable experience.
Why Choose Self-Ligating Braces?
- Faster Treatment Times
- More Comfortable
- Fewer Visits
- Discreet Appearance
What to Expect
Self-ligating braces work similarly to traditional braces but offer a more streamlined and comfortable treatment experience. They’re ideal for patients looking for faster results with less maintenance. While they may be a bit more expensive than traditional braces, the benefits often make them worth the investment.
Which Type of Braces is Right for You?
Choosing the right braces is a personal decision based on your specific orthodontic needs, lifestyle, and budget. Dr. Sameera Athar and the team at Dentilign Orthodontic and Comprehensive Dental Care are here to guide you every step of the way. During your consultation, we will assess your teeth and discuss your treatment goals to recommend the best option for you.
Whether you opt for traditional metal braces or the more advanced self-ligating braces, rest assured that you’ll receive personalized care with the latest orthodontic technology. Our goal is to ensure that you have a smooth, comfortable experience while achieving the smile of your dreams.
3. Tooth-Colored Braces: Discreet and Effective
Smile with Confidence – Even While You’re Wearing Braces!
Tooth-colored braces, also known as ceramic braces, offer an excellent solution for individuals who want the effectiveness of traditional braces without the noticeable appearance of metal. The brackets are made of a clear or tooth-colored material that blends seamlessly with your teeth, making them much less visible.
Advantages of Tooth-Colored Braces:
- Discreet Appearance
- Effective for Complex Cases
- Durability
What to Expect with Tooth-Colored Braces:
Tooth-colored braces work similarly to traditional metal braces but are more discreet. They do require a little more care because they can stain more easily than metal brackets. Dr. Sameera Athar will guide you on how to care for them, ensuring that you get the best results while keeping your braces clean and clear.
Braces
At Dentilign, we believe that everyone deserves a beautiful, confident smile. As an orthodontic specialist, Dr. Sameera Athar provides a range of braces options to meet the unique needs of each patient. Whether you're looking to straighten your teeth or improve your bite, we offer effective, personalized treatments using the latest orthodontic technology.
Here’s an overview of the two popular types of braces we provide: Traditional Metal Braces and Self-Ligating Braces.
1. Traditional Metal Braces
The Most Time-Tested and Effective Option
Traditional metal braces are the most commonly used method of straightening teeth and correcting bite issues. Made from high-grade stainless steel, these braces consist of metal brackets that are attached to the teeth, connected by a wire and secured with small rubber bands.
Why Choose Metal Braces?
- Durability
- Proven Track Record
- Customizable Colors




Is Invisalign Right for You?
Invisalign is a great option for many orthodontic issues, including mild to moderate crowding, spacing, and bite issues. However, for more severe cases, traditional braces or self-ligating braces may be more effective. During your consultation, Dr. Sameera will help you determine if Invisalign is the right choice for you.
This content can help educate your potential patients and provide them with the information they need to make an informed decision about their orthodontic treatment. Let me know if you'd like to adjust anything or add more details!
Braces vs. Aligners: Which Is Right for You?
Both braces and aligners are effective ways to straighten teeth and correct bite issues, but they work in different ways. Here’s a comparison of the two options to help you make an informed choice about your orthodontic treatment.
1. Appearance:
- Braces: Traditional metal braces are the most noticeable type, with metal brackets and wires that are visible on the teeth. Tooth-colored braces, however, offer a more discreet alternative, using clear or ceramic materials to blend with the natural color of your teeth. Still, they may be visible from certain angles.
- Aligners (Invisalign): Aligners are made of clear plastic and are virtually invisible when worn. They are an excellent choice for patients who want to straighten their teeth discreetly. Most people will barely notice you’re wearing them, even up close.
Winner: Aligners (Clear and nearly invisible).
2. Treatment Time:
- Braces: Traditional braces typically require 12 to 24 months for most patients, depending on the severity of the case. Some patients may need additional time for more complex orthodontic issues. Self-ligating braces can sometimes reduce treatment time, as they apply less friction during the movement of your teeth.
- Aligners (Invisalign): Invisalign treatment often takes about the same time as braces, but in many cases, it can be slightly quicker—especially for mild to moderate alignment issues. Treatment typically ranges from 6 to 18 months, though more severe cases may require the full 24 months, similar to traditional braces.
Winner: Tie, depending on the case. Aligners may be faster for mild cases, but braces may be needed for complex situations.
3. Comfort:
- Braces: Traditional braces can sometimes cause discomfort due to the metal brackets and wires, especially after adjustments. The wires and elastic bands can also irritate the inside of the mouth, causing soreness or sores on the cheeks and gums.
- Aligners (Invisalign): Aligners are generally more comfortable because they don’t have metal parts that can irritate the mouth. The aligners are custom-made to fit snugly over your teeth and are smooth, which means they tend to cause less discomfort. However, some patients experience mild discomfort when switching to a new set of aligners, as the teeth are shifting.
Winner: Aligners (More comfortable with fewer irritations).
4. Maintenance and Care:
- Braces: With traditional braces, there are specific dietary restrictions (e.g., avoiding sticky or hard foods) to prevent damage to the brackets and wires. Cleaning requires more effort; you’ll need to use special tools like an interdental brush or floss threaders to clean around the brackets and wires properly. Regular visits to the orthodontist for adjustments are also required, usually every 4 to 6 weeks.
- Aligners (Invisalign): Aligners are removable, so you can take them out to eat, drink, brush, and floss, making oral hygiene easier. However, aligners must be worn for 20-22 hours a day for the treatment to be effective. You also need to clean your aligners regularly to avoid buildup or odors. While you won’t need frequent orthodontist visits, you’ll need to follow up every 6-8 weeks to ensure your treatment is progressing.
Winner: Aligners (Easier to maintain oral hygiene and more convenient with fewer dietary restrictions).
5. Treatment Flexibility:
- Braces: Braces are fixed and cannot be removed, which means they are continuously working to straighten your teeth. This is beneficial for patients who may not be diligent with wearing their aligners. However, since they are fixed, you cannot take them out for special occasions or photos, and you have to adjust your lifestyle to accommodate them.
- Aligners (Invisalign): The flexibility of aligners is one of their greatest advantages. Since they are removable, you can take them out when eating, drinking (anything other than water), or for special occasions. However, they must be worn for 20-22 hours a day to be effective, which requires discipline and commitment.
Winner: Aligners (More flexibility, but requires more responsibility).
6. Effectiveness for Different Cases:
- Braces: Braces are highly effective and can treat a wide range of orthodontic issues, including severe misalignments, bite issues (overbite, underbite, crossbite), and complex cases. Traditional braces can correct almost any dental issue.
- Aligners (Invisalign): Aligners are ideal for treating mild to moderate orthodontic problems like spacing, crowding, and minor bite issues. However, for more complex cases (e.g., significant bite problems or severe crowding), traditional braces may be more effective and offer better control over tooth movement.
Winner: Braces (More effective for complex cases).
7. Duration of Treatment Appointments:
- Braces: Braces require more frequent visits to the orthodontist for adjustments. These appointments typically take 20 to 45 minutes depending on the type of braces and the complexity of the adjustments.
- Aligners (Invisalign): Since aligners don’t need adjustments like braces, your visits will typically be less frequent—about every 6 to 8 weeks. These appointments tend to be shorter, usually lasting 15 to 30 minutes to check progress and provide you with new aligners.
Winner: Aligners (Fewer visits and shorter appointments).
8. Cost:
- Braces: The cost of braces can vary widely depending on the type (metal, ceramic, or self-ligating), the complexity of the treatment, and the duration. Generally, traditional metal braces start from Rs. 28,000/-
- Aligners (Invisalign): Invisalign treatment is often slightly more expensive than traditional braces due to the custom fabrication of aligners and the advanced technology involved. Invisalign typically start from Rs. 1.5Lakh*, but prices can vary depending on the severity of the case and treatment length.
Winner: Braces (Generally less expensive, but pricing varies).
Conclusion: Braces or Aligners?
The choice between braces and aligners ultimately depends on your specific orthodontic needs, personal preferences, and lifestyle.
- If you're dealing with complex orthodontic issues, braces might be your best bet, as they are highly effective in treating severe cases.
- If you want a discreet, comfortable, and flexible option, and your orthodontic issues are mild to moderate, then Invisalign may be a better fit.
At Dentilign Orthodontic and Comprehensive Dental Care, Dr. Sameera Athar will work with you to assess your needs and recommend the best treatment plan for your unique smile. During your consultation, we’ll discuss your goals, answer all your questions, and help you decide whether braces or aligners are the right choice for you.
Aligners
Invisalign: The Clear Way to Straighten Your Smile
The Best Option for a Nearly Invisible Smile Transformation
Invisalign is a revolutionary system of clear aligners that gradually straighten your teeth without the need for traditional metal braces. Using advanced 3D imaging technology, we create a custom treatment plan with a series of clear, removable aligners that fit snugly over your teeth.
Benefits of Invisalign:
- Virtually Invisible
- Comfortable
- Removable
- Fewer Visits
How Invisalign Works:
1. Consultation and Imaging
2. Treatment Plan
3. Wear the Aligners
4. Regular Check-ups




4. Are self-ligating braces faster than traditional braces?
Yes! Self-ligating braces generally require fewer adjustments and less friction, which can lead to faster treatment times. Many patients experience shorter treatment durations and fewer office visits with this option.
5. How often will I need to visit the orthodontist?
For traditional metal braces, patients typically need to visit every 4 to 6 weeks for adjustments. With self-ligating braces, some patients may be able to come in less frequently. Invisalign patients generally visit every 6-8 weeks to track progress.
6. Do braces hurt?
While you may experience some discomfort after your braces are first put on or after an adjustment, the pain is generally mild and temporary. Over-the-counter pain relief can help alleviate any discomfort. Self-ligating braces, in particular, are known to cause less pressure and discomfort compared to traditional braces.
7. Can I eat normally with braces?
Yes, but you’ll need to avoid certain foods that can damage your braces, such as hard candies, popcorn, and sticky foods. Dr. Athar will provide specific guidelines on what you can and can’t eat during your treatment.
8. Is Invisalign really effective?
Yes, Invisalign is highly effective for many orthodontic issues, including crowding, spacing, and bite problems. The clear aligners are custom-made to fit your teeth, gradually shifting them into the desired position. Invisalign is a great choice for patients who want a more discreet and comfortable option for straightening their teeth.
Patient Testimonials
At Dentilign Orthodontic and Comprehensive Dental Care, we’re proud to have helped so many patients achieve their dream smiles. Here’s what some of our patients have to say about their experience:
"I couldn't be happier with my results!"
"I was hesitant about getting braces as an adult, but Dr. Sameera Athar made the entire process easy and comfortable. I chose self-ligating braces because they promised a faster treatment time, and I’m so glad I did! The appointments were quick, and I saw noticeable improvements in just a few months. My smile has never looked better!"
— Sara M., 32, A Software employee
"Invisalign was the best decision for me!"
"As a teenager, I was worried about how traditional braces would look. I opted for Invisalign and the experience has been amazing. The aligners are nearly invisible, and I could take them out to eat and brush my teeth. The results were incredible, and I’m so happy with my new smile!"
— Aarav R., 17, High School Student
"Highly recommend Dentilign to anyone considering braces!"
"I had crooked teeth for years and always felt self-conscious about my smile. After my consultation with Dr. Sameera, I decided to go with tooth-colored braces. The braces were discreet and worked so well. The entire team was supportive and made every visit a pleasant experience. I can’t believe the transformation!"
— Mohan T., 24, Teacher
Frequently Asked Questions (FAQs)*
1. How do I know which type of braces is right for me?
At Dentilign Orthodontic and Comprehensive Dental Care, Dr. Sameera Athar will assess your teeth, bite, and oral health during a consultation. Based on this assessment, we’ll recommend the best option for you. Factors such as your age, lifestyle, and specific dental issues will determine whether traditional metal braces, self-ligating braces, or Invisalign is the most suitable for your needs.
2. What is the difference between metal braces and tooth-colored braces?
Metal braces are the traditional braces that consist of stainless steel brackets and wires. Tooth-colored braces, also known as ceramic braces, are a more aesthetic alternative. The brackets are made of clear or tooth-colored material, which blends in more naturally with the teeth, making them less noticeable. They still function like traditional metal braces, but they offer a more discreet appearance.
3. How long will I need to wear braces?
The length of treatment varies depending on the severity of the issue being addressed. On average, patients wear braces for 12 to 24 months, though some cases may take longer or shorter. Dr. Athar will give you a more specific timeline after your initial consultation.
